Histone Butyrylation Analysis Service
MtoZ Biolabs has launched the histone butyrylation analysis service to conduct systematic detection and quantitative research on histone butyrylation (Kbu) modifications. This service relies on a high-resolution mass spectrometry platform combined with optimized peptide enrichment strategies to achieve precise identification of modification sites and analysis of abundance changes. By integrating multidimensional bioinformatics tools, it can provide high-quality data on modification distribution patterns, differential comparisons, and functional annotations, helping researchers gain deeper insights into the role of Kbu in epigenetic regulation, gene expression, and cellular function studies, and offering data support for related basic and applied research.
Overview
Histone butyrylation (Kbu) is a post-translational modification occurring on histone lysine residues, in which the covalent attachment of a butyryl group can alter chromatin structure and affect gene transcription. Studies have shown that Kbu has important connections between metabolic signaling and epigenetic regulation, involving gene expression regulation, chromatin dynamics, and maintenance of cellular states, and it plays roles in processes such as stem cell differentiation, energy metabolism, and stress responses. This service is widely applied in epigenetics, metabolism, and developmental research, providing support for understanding its functional value.

Lu, Y. et al. Genome Biology, 2018.
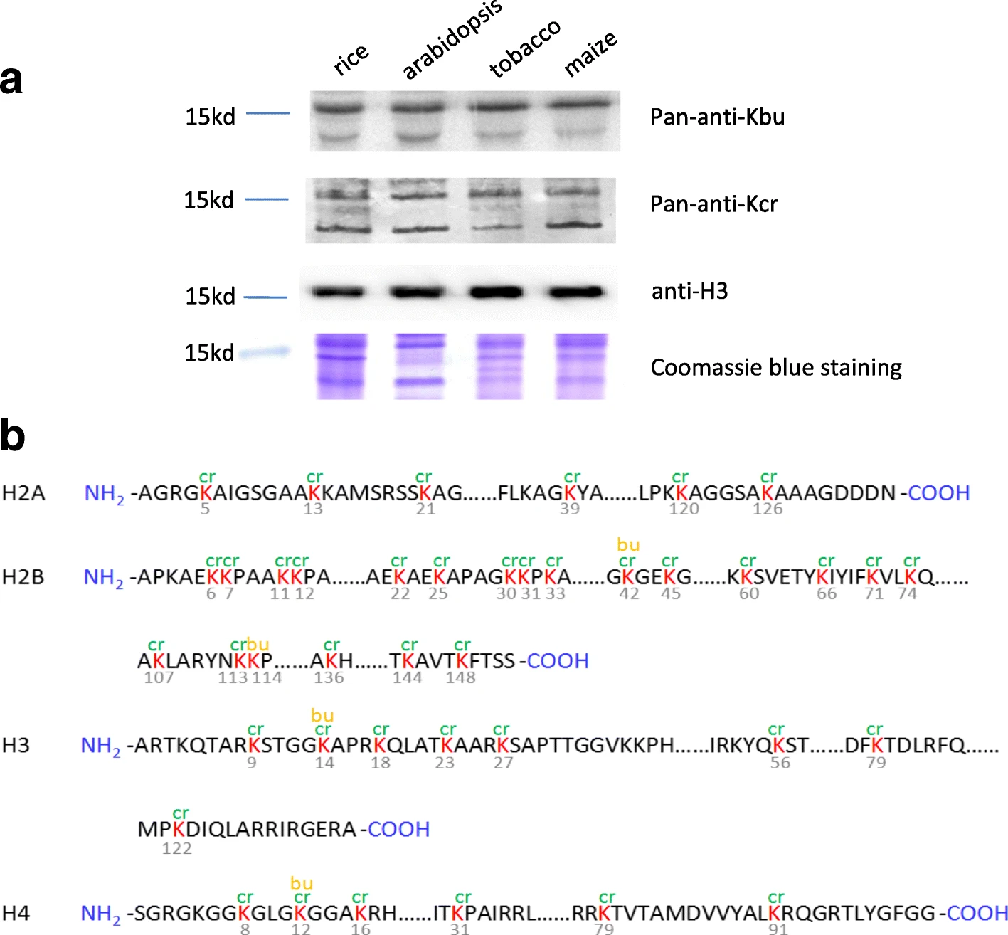
Figure 1. Identification of Rice Gistone Kbu and Kcr Modifications.
Analysis Workflow

Figure 2. The Workflow of Histone Butyrylation Analysis.
Sample Submission Suggestions
1. Sample Type and Quantity

Note: Plasma should be collected using EDTA as an anticoagulant. Standard tissue or cell lysis buffers can be used during protein extraction.
2. Sample Transportation
Avoid repeated freeze-thaw cycles. Samples are recommended to be stored at -80°C and transported on dry ice to ensure low-temperature conditions throughout the process and prevent modification loss.
Note: For special samples or if a detailed submission plan is required, please contact MtoZ Biolabs technical staff in advance.
Service Advantages
1. Accurate Site Identification
Relying on advanced LC-MS/MS platforms, precise identification of low-abundance butyrylation modifications and sites can be achieved.
2. Optimized Experimental Workflow
Optimized strategies are applied in sample processing and enrichment to improve detection rates and data quality.
3. Comprehensive Data Information
Provides modification site distribution, abundance changes, and functional annotations to support in-depth analysis.
4. Flexible Solution Design
Experimental workflows can be customized according to research needs and sample characteristics to meet diverse requirements.
Applications
1. Epigenetics Research
Analyze the role of butyrylation modifications in chromatin structure regulation and gene expression control.
2. Stress Response Research
Histone butyrylation analysis service can be used to explore the dynamic changes of butyrylation modifications under oxidative, nutritional, or environmental stress conditions.
3. Metabolic State Evaluation
By studying butyrylation levels in nutrient supply and energy metabolism, its dynamic regulatory features can be revealed.
4. Disease-Related Research
Histone butyrylation analysis service can be applied to investigate the potential roles of Kbu modifications in cancer, metabolic disorders, and immune regulation.
Deliverables
1. Comprehensive Experimental Details (Materials, Instruments, and Methods, etc.)
2. Relevant Liquid Chromatography and Mass Spectrometry Parameters
3. Detailed Information on Histone Butyrylation Analysis
4. Raw Data
5. Mass Spectrometry Image
6. Custom Analysis Report


